邱本胜 教授
联系人:周玉福:zhouyufu518@126.com;
祁甫浪:qaler2007@gmail.com
磁共振系统实验室由硬件组、软件组、序列组和器械组构成,有近20名博士和硕士研究生。其研究方向包括:磁共振成像系统的研发、影像引导治疗系统的研发和图像处理。
一、磁共振成像系统
磁共振成像系统包括射频线圈的研发、磁共振脉冲序列和温度成像、快速成像及弹性成像等成像技术的研究。



术中实时磁共振系统展示:

二、影像引导治疗系统
影像引导治疗系统包括影像导航系统的研发、磁共振介入线圈的研发、磁兼容微波消融仪及磁兼容射频消融仪的研发,磁兼容器械其外围设备的研发等。

Viscure系统展示:

三、图像处理
磁共振图像后处理技术通过使用数字信号处理、数学变换、深度神经网络等技术对输入的磁共振图像进行处理,实现图像的增强、病灶的标记与分割。经处理图像可以为临床诊断提供可靠的依据,提高诊断准确率及诊疗效率。当前研究方向包括磁共振图像去噪,磁共振图像去伪影以及磁共振图像超分辨率。

研究传统图像域、频率域以及变换域磁共振图像去噪方法,此外,随着深度学习的发展,将深度学习应用到磁共振图像去噪任务中。其中包括:
非局部均值:非局部平均是一种影像降噪的算法,非局部平均算法对各个目标像素周围定义一个区块,并且对整个影像的所有像素依照该像素周围区块的区块与目标像素区块的相似度赋予权重、进行平均,如此可以使经过处理的影像更为清晰,并且损失较少的细节。

小波变换:小波变换是指用有限长或快速衰减的“母小波”(mother wavelet)的振荡波形来表示信号。波形被用来缩放和平移以匹配输入的信号。小波变换具有优异的时频特性和多分辨率的性质,可以提取信号与噪声的特征,对信号波形细节也有很好的分辨率。

ODCT3D:离散余弦变换是一种与傅里叶变换相关的变换,但是一种实数域的变换,可以用于信号与图像的处理,去噪的主要思路为对图像进行离散余弦变换,设置阈值,滤除高频部分,进行噪声的去除。

深度学习:深度学习(deep learning)是机器学习的分支,是一种以人工神经网络为架构,对资料进行表征学习的算法,深度神经网络是深度学习框架之一,使用深度神经网络模型,学习磁共振图像噪声分布,从而实现图像去噪的目的。

利用传统滤波方法、深度学习方法,减轻由于患者主客观原因、设备的软硬件原因、外界的环境干扰因素等引起的伪影对图像质量的影响,使扫描图像质量能够满足临床诊断的需要。
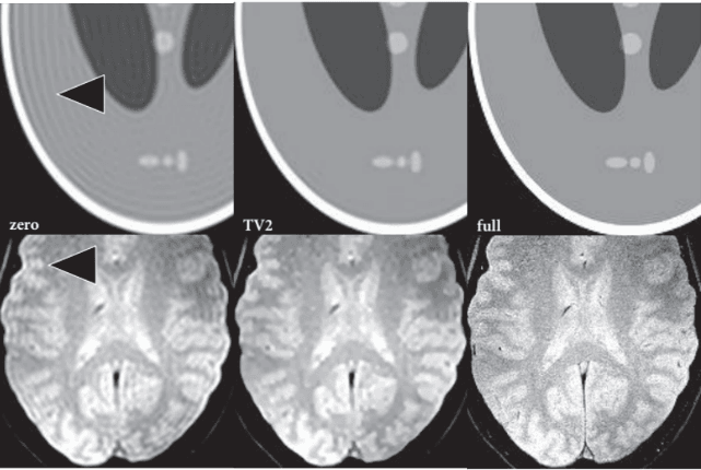
全变分约束外推:对于超出测量部分的K空间数据,利用分段常数对象的简单假设进行推断,利用此方法可以显著减小截断伪影且不影响图像分辨率。

GAN(生成对抗网络):GAN为非监督学习方法之一,由生成网络与判别网络组成,生成网络输出尽可能接近训练集样本,而判别网络的输入为生成网络的输出或真实样本,判别网络要尽可能地分辨出真实样本,两个网络之间相互对抗,通过调节参数,直至判别网络无法辨别出所输入样本的真实性。

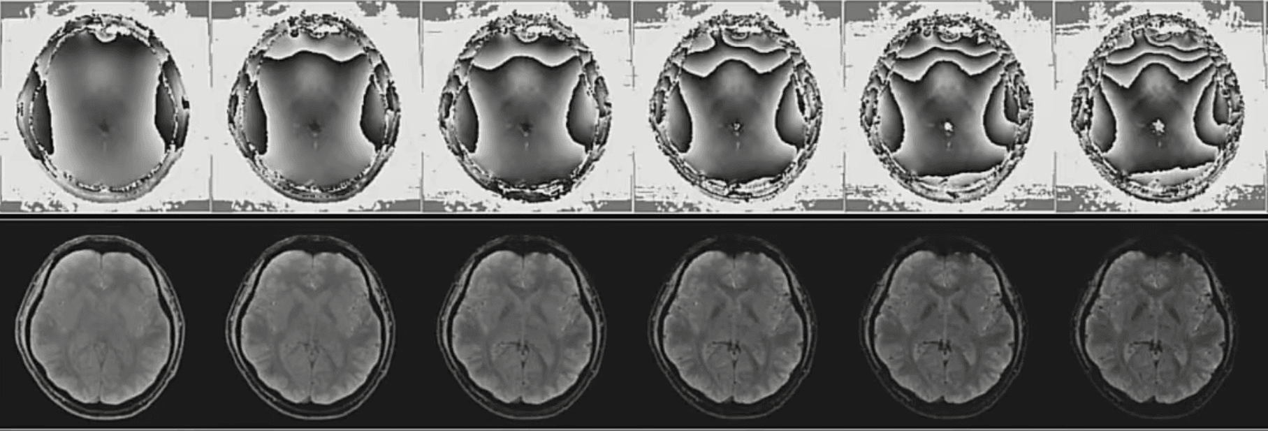
并行成像(Grappa):GRAPPA算法是一种利用所有通道的中心完整采样的数据,计算一个通道 K 空间内某点及其特定邻近位置的多个点(包括所有通道在这些特定位置的对应点)的权重,再利用已采集的数据和权重去重建这一通道的未采集的数据点,以此获得完整k空间数据的快速成像方法。

并行成像(SENSE):SENSE技术首先利用不同位置的接收线圈单元计算出各线圈敏感性差异的K空间填充数据,然后由此重建出相应的具有卷褶效应的图像,最后再将这些具有不同线圈敏感性差异的卷褶图像组合成一幅不具卷褶伪影图像。

压缩感知技术:压缩感知技术也被称为压缩采样(Compressive sampling)或稀疏采样(Sparse sampling),是一种寻找欠定线性系统稀疏解的技术。压缩感知被应用于电子工程尤其是信号处理中,用于获取和重构稀疏或可压缩的信号。这个方法利用了信号稀疏的特性,能突破奈奎斯特采样定理的限制,从较少的测量值中精确还原出所需要的信号。

超短回波序列(UTE):UTE序列不属于经典的自旋回波或者梯度回波序列,由于其直接采集自由感应衰减信号,因此其最终图像具有梯度回波成像特性。UTE序列对硬件的要求十分严格,其回波时间受到射频线圈发射和接收的限制,最短可以达到70μs左右,而使用专门的硬件甚至可以降至8μs。UTE序列解决了短T2值的成像组织密度低的问题,不仅适用于解剖学成像,还适用于使用一些气体试剂以实现功能成像,例如超极化气体和氧气增强磁共振成像。组织结构和功能成像技术的结合可以获得对肺部更全面的诊断,如测量区域通气、气体交换和灌注等肺部状态。

磁共振温度成像序列:温度成像序列采用梯度回波序列,利用物体温度的变化会引起成像物体的相位变化的特性,采集开始和结束时间的物体的磁共振图像,求解两次的相位差值,并利用其中的线性关系反映出温度的变化。温度成像可用于放疗手术中实时检测成像区域温度的变化,为医生提供治疗效果和范围等信息,便于进一步手术计划的制定。

磁共振水脂分离技术:该技术基于脂肪和水的化学位移特性,水质子和脂肪质子的进动相位周期性出现反相位和同相位,利用同-反相位的扫描图像计算拟合出单独“水”或“脂肪”的分离图像,可用于低场磁共振,能同时得到物体的水像、脂像、同相位像和反相位像。在临床应用中,该技术所获得清晰准确的软骨细节图像可以极大提高疾病检查的准确度。同时,得到的水像和脂像可以计算出脂肪分数图像,以此反映脂肪密度、女性骨质疏松情况等

平面回波序列(EPI):EPI是最快速的磁共振成像序列。它在脑和心脏快速成像、心脏电影、磁共振血管造影、脑功能 MRI(包括脑功能活动、脑灌注和脑弥散MRI)等方面得到广泛应用。EPI为梯度回波的一种特殊形式,它利用快速反向梯度在单个弛豫时间内产生一系列梯度回波并对其分别相位编码,填充到相应的 k 空间,实现断面成像。

磁敏感加权序列(SWI):该技术基于梯度回波序列,利用人体内不同组织的磁化率差异引起的相位差异,为临床诊断提供人体额外的物理信息。它在诊断肝脏、肾脏、膝关节等部位的微出血以及脑损伤时有其特有的对病灶高敏感度的优势,且基于SWI图像可以定量计算出各部位的磁敏感参数,从而通过研究铁元素沉积、神经纤维的各向异性来探究神经退行性疾病的成因。

磁共振血管成像技术(MRA-TOF):该技术基于梯度回波成像序列,通过快速重复的射频激励使得静止组织达到饱和状态,在磁共振成像过程中所能获得的某种组织的信号强度取决于该组织再射频激励时刻组织所具有的瞬间纵向磁化矢量。由于成像序列成像时重复时间通常较短,所以再经历一连串的快速射频激励后静止组织达到了饱和状态,这样静止组织的信号就很低;对于成像区域的血管内血液而言,因为这些血液理想状态下是从成像区域范围外流入到成像区域内的,他们没有经历前序的射频脉冲激发,因此每一次射频激发这些新鲜的流入血液能够贡献出更多的信号。这样在血液和背景静止组织之间就形成了足够的血流对比。

超导磁体设计:基于线性优化与非线性优化方法相结合的主动与被动屏蔽式MRI超导磁体设计研究:1)根据设计目标将布线区域划分成矩形网格阵列,每个网格代表一电流环;2)计算网格阵列对DSV采样点、5高斯线采样点的磁场贡献矩阵;3)以最小化超导线用量为优化目标,DSV磁场均匀度及5高斯线条件为约束进行布线区域的线性优化;4)将线性优化所得布线结果矩形化并进一步进行非线性优化调整,得到最终布线结果;5)对最终结果进行相应的电磁仿真验证。

超导磁体被动匀场算法:基于谐波分析法和目标场法的超导磁体被动匀场算法研究:1)体DSV区域磁场测试,通过优化的采样轨迹设计和优化积分算法对磁场的的球面谐波系数精准求解;2)建立匀场片的在DSV空间的磁场分布模型;3)以谐波系数偏差、目标磁场偏差和最小匀场片使用量为优化目标进行优化推演,计算得到匀场片分布。

梯度线圈:梯度线圈是磁共振系统的核心零部件之一,其主要功能为空间编码、线性匀场及产生梯度回波。核心指标为梯度场的范围、线性度、爬升时间、涡流屏蔽等。目前主流的设计方法主要分为解析和数值方法,主要的研究方向有:1)基于解析方法的梯度线圈设计;2)基于数值方法的梯度线圈设计;3)梯度线圈设计的优化算法;4)异型梯度线圈的设计与应用。

磁共振射频线圈:MRI射频线圈是磁共振系统的核心部件之一,是磁共振信号的激发者和接收者,其性能直接关系到磁共振成像的质量。发射线圈发射射频脉冲激发人体内的质子发生共振,接收线圈以高信噪比接收感兴趣区域的信号。射频线圈可通过仿真软件来开发设计及优化,主要设计研究包括:1)根据应用场景基于目标场方法进行MRI线圈设计;2)使用Comsol等电磁仿真软件进行射频线圈电磁场仿真研究;3)以射频磁场为目标,应用算法进行线圈结构优化;4)研究超材料、电子电路等方法增强磁共振射频线圈性能。

磁共振谱仪关键技术:多通道数字化宽频带磁共振谱仪关键技术的研究与实现:1)多路并行模拟采集通路,提高集成度;2)在模拟预处理部分提供较强的信号幅度调节能力,以适用于更宽范围的输入模拟信号;3)使用大容量存储芯片,提供较大的板载存储空间;4)选择 FPGA 为核心处理器件,提高灵活性;5)在保留传统 PCIe 总线接口的同时,设计光纤接口,增强多场景适应性及可扩展性。

磁共振多核技术:基于射频电路研究、射频电磁场设计、射频控制技术,实现磁共振多核成像技术,突破传统的氢质子成像限制,扩宽磁共振成像的应用范围。 磁共振多核成像可以应用于:基于19F,129Xe的肺部通气功能检查,基于13C的乳腺癌,前列腺癌筛查,基于31P头颈部恶性肿瘤筛查等

通讯/办公地址:
办公室电话:
邮箱:
版权所有 ©2020 优米娱乐app
地址:安徽省合肥市金寨路 96 号,邮政编码:230026
微信二维码